Toggle navigation

บริการ

วีเนียร์

วัสดุคอมโพสิท , พอรซเลน และระบบกาวในปัจจุบันตอบสนองความต้องการในเรื่องความสวยงามได้เป็นอย่างดี ฟันหน้าที่มีรอยอุดใหญ่ , รูปร่างไม่สวย สามารถแก้ไขโดยการทำวีเนียร์ปิดหน้าฟันไปทั้งซี่ วีเนียร์มี2 ชนิด คือ

ชนิดแรก พอรซเลนวีเนียร ที่ต้องการกรอเนื้อฟันค่อนข้างมาก สามารถบังสีฟันได้ จึงให้ผลงานที่สวยงาม เป็นธรรมชาติ ราคาสูง ใช้เวลาในการทำอย่างน้อย 2 ครั้ง ถ้าแตกไม่สามารถซ่อมแซมได้ ต้องรื้อทิ้งทำใหม่

ชนิดที่สอง คอมโพสิทวีเนียร์ ให้ความสวยงามใกล้เคียงธรรมชาติ แต่งานอาจไม่สมบูรณ์แบบเหมือนพอรซเลนวีเนียร จึงไม่เหมาะในกรณีที่ฟันสีเข้มมากแล้วต้องการเปลี่ยนให้ฟันสีอ่อนลง ต้องการการกรอเนื้อฟันน้อย ราคาย่อมเยาว์กว่า ทำครั้งเดียวเสร็จ ถ้าแตก สามารถซ่อมแซมได้

Click on image to enlarge

รักษารากฟัน

เมื่อฟันผุหรือหักจนทะลุโพรงประสาทฟัน เนื้อเยื่อในโพรงประสาทฟันจะตาย และติดเชื้อ เกิดเป็นหนองขึ้นที่ปลายราก กระดูกรอบๆปลายรากฟันจะละลาย ในบางกรณี หนองอาจลุกลามทะลุเหงือกออกมา เห็นเป็นรูหนองเปิดใกล้ๆปลายราก หรืออาจติดเชื้อจนแก้มบวม

การรักษารากเป็นการเอาเนื้อเยื่อในโพรงประสาทฟันที่ติดเชื้อออก รวมทั้งทำความสะอาดผนังคลองรากฟัน และอุดด้วยวัสดุอุดรากฟัน จบลงด้วยการอุดในส่วนตัวฟัน หรือทำครอบฟัน คนไข้จึงสามารถเก็บฟันไว้ใช้งานได้

Click on image to enlarge

ทันตกรรมอุดฟัน

วัสดุที่ใช้ในการอุดฟันมี 2 ชนิด คือ อมัลกัม และคอมโพสิทเรซิน

อมัลกัม

เป็นวัสดุที่ทางทันตกรรมใช้มาตั้งแต่ปี คศ 1830 เกือบ 200ปีแล้ว เป็นวัสดุที่ใช้ง่าย แม้ในสภาวะที่ไม่เอื้อต่อการปฏิบัติงานเช่น กันน้ำลายไม่ได้แห้งสนิท หรือฟันซี่ในสุดที่เข้าทำยาก อมัลกัมก็ไม่ค่อยล้มเหลว อมัลกัมประกอบด้วย 2 ส่วน

ส่วนแรกเป็นผงอัลลอยของโลหะ เงิน ดีบุก และทองแดง อีกครึ่งหนึ่งคือ ปรอท ซึ่งทำหน้าที่เชื่อมอัลลอยให้กลายเป็นเนื้อเดียวกัน

หลายปีที่ผ่านมา อมัลกัมเป็นที่รังเกียจจากแพทย์ทางเลือก ที่เชื่อว่า ปรอทในอมัลกัมทำให้เกิดปัญหาสุขภาพ เวลาบดเคี้ยวอาหาร มีการปล่อยไอปรอทออกจากวัสดุอมัลกัมที่อุดไว้ในปาก ในปริมาณน้อยมาก ในขณะที่รอบๆตัวเรา ในน้ำ ในอากาศ มีปรอทอยู่มากมาย ทั้งปรอทตามธรรมชาติ เช่น ปรอทที่ถูกปล่อยออกมาเมื่อภูเขาไฟระเบิด เป็นละอองอยู่ในอากาศ พอฝนตกก็ไหลอยู่ตามพื้นดิน แม่น้ำ แล้วเข้าสู่ร่างกายเราผ่านทางอาหารและน้ำดื่ม ปรอทถูกนำมาทำยาฆ่าแมลง ปรอทถูกใช้ในโรงงานเพื่อผลิตสารเคมี ของเสียผสมปรอทเหล่านี้กลับมาสู่ร่างกายเราผ่านน้ำดื่ม และอาหารทะเล

U.S. Food and Drug Administration(FDA) ได้เผยแพร่บทความเกี่ยวกับอมัลกัม กล่าวถึงความเสี่ยงในการใช้ว่า ไอปรอทจากวัสดุอมัลกัมมีปริมาณน้อย ไม่ก่อให้เกิดปัญหาสุขภาพ ยกเว้นในคนที่แพ้ปรอท หรือแพ้ส่วนประกอบอื่นๆในอมัลกัม

ปัญหาจะเกิดขึ้นเมื่อมีวัสดุอุดอมัลกัม และ วัสดุโลหะต่างชนิดกันในปาก เช่น มีครอบฟันหลายซี่ แต่ละซี่ก็เป็นโลหะคนละประเภท มีวัสดุอมัลกัมต่างบริษัท ลวดจัดฟัน แบรกเก็ต ฟันปลอมโครงโลหะ ส่วนประกอบของโลหะที่ต่างกัน เมื่ออยู่ในช่องปากเดียวกัน น้ำลายจะทำหน้าที่เป็น อิเลคโตรไลท์ และเหนี่ยวนำให้เกิด การไหลของของกระแสไฟฟ้า คล้ายๆกับที่เกิดในแบตเตอร์รี่ กระแสไฟฟ้าที่เกิดขึ้นอาจสูงถึง 900มิลลิโวลท์ ขณะที่ร่างกายรับได้เพียง 450 มิลลิโวลท์ จึงก่อให้เกิดผลเสียต่อสุขภาพ เป็นสาเหตุของโรคต่างๆ

วัสดุอุดคอมโพสิทเรซิน

คอมโพสิทเรซินหรือวัสดุอุดสีเหมือนฟัน เป็นที่นิยมใช้อุดฟันมากขึ้นในช่วง20 ปี ด้วยคุณสมบัติที่ตอบสนองความต้องการในเรื่องต่างๆ ทั้งในเรื่องความสวยงาม ความแข็งแรง การยึดเกาะของคอมโพสิทกับเนื้อฟัน อาศัยระบบกาว ( bonding ) จึงไม่ต้องกรอฟันมาก ต่างจากอมัลกัมที่ต้องอาศัยการกรอฟันให้มีความเป็นกล่อง จึงเสียเนื้อฟันมากกว่า

คอมโพสิทเรซิน มาในรูปของเนื้อวัสดุนิ่มๆ ทันตแพทย์สามารถแต่งจนได้รูปร่างที่ต้องการจึงฉายแสงให้วัสดุแข็ง ด้วยคุณสมบัติพิเศษนี้ จึงนำมาใช้ในงานทันตกรรมเพื่อความสวยงามได้อย่างหลากหลาย เช่น การปิดช่องฟันห่าง การแต่งเติมผิวหน้าฟัน การเติมปลายฟันให้ยาวขึ้น โดยกรอฟันเพียงเล็กน้อยหรือแทบไม่ต้องกรอเลย

คอมโพสิทเรซินแข็งตัวด้วยแสง ระหว่างที่แข็งตัวจะมีการหดตัวในเนื้อวัสดุ ซึ่งถ้าเทคนิคการอุดไม่ถูกต้อง จะมีปัญหาเสียวหลังอุดได้ สิ่งสำคัญอีกเรื่องคือ บริเวณที่อุดต้องแห้งสนิท ไม่มีเลือดหรือความชื้น ซึ่งจะทำให้แรงยืดระหว่างวัสดุและเนื้อฟันต่ำลง มีปัญหาวัสดุอุดหลุดหรือรั่วภายหลัง

Click on image to enlarge

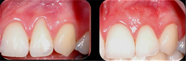
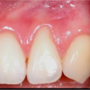
รักษาโรคเหงือก และปริทันต์อักเสบ

เมื่อมีคราบขี้ฟันซึ่งเต็มไปด้วยแบคทีเรีย เกาะฟันอยู่เป็นเวลานานทุกวัน เหงือกจะเริ่มอักเสบ บวม แดง และเลือดออกได้ง่าย

การอักเสบอยู่เฉพาะบริเวณเหงือก แต่ถ้าไม่รักษา การอักเสบและติดเชื้อจะลุกลามจากเหงือกเข้าสู่กระดูกและอวัยวะปริทันต์ที่ล้อมรอบรากฟัน เกิดการทำลายกระดูกและอวัยวะปริทันต์ ผลที่ตามมาคือ ร่องเหงือกจะเริ่มกว้างและลึกขึ้น ไม่รัดแน่นกับคอฟัน ทำให้คราบขี้ฟันเข้าไปค้างง่ายยิ่งขึ้น การติดเชื้อและการอักเสบเพิ่มขึ้น ส่งผลให้กระดูกละลายมากขึ้น ฟันเริ่มโยก และอาจเสียฟันในที่สุด

Click on image to enlarge

ปลูกเหงือก

เมื่อเหงือกร่น รากฟันที่ควรอยู่ในกระดูกและเหงือก กลับสัมผัสความร้อน ความเย็น จึงเกิดอาการเสียวฟัน โอกาสเกิดรากฟันผุ ฟันที่เหงือกร่นจะดูยาวกว่าปกติ ซึ่งเป็นลักษณะของฟันผู้สูงอายุ การปลูกเหงือก เป็นการนำเหงือกที่แข็งแรงจากบริเวณเพดานมาปลูก สามารถแก้ไขเหงือกร่น ทำให้ฟันมีความยาวปกติ และสวยงามขึ้น

Click on image to enlarge

ร่นเหงือก

การร่นเหงือก เป็นการตัดแต่งเหงือกและกระดูก เพื่อให้มีตัวฟันยาวขึ้น การร่นเหงือก ทำในกรณี ที่ฟันผุหรือแตกจนขอบอยู่ต่ำกว่าระดับเหงือก หรือกรณีที่ฟันเตี้ยมากจนไม่สามารถกรอทำครอบฟันได้ นอกจากนี้คนที่ยิ้มแล้วเห็นเหงือกมาก ฟันดูสั้น ก็สามารถใช้วิธีร่นเหงือกในการปรับแต่งระดับกระดูกและเหงือกให้ฟันมีขนาดยาวขึ้น

Click on image to enlarge

ถอนฟัน ผ่าฟันคุด

ฟันคุดที่งอกได้บางส่วน มักขึ้นชนในลักษณะมุดอยู่ใต้ฟันกรามซี่ถัดมา เศษอาหารมักติดจนฟันผุ และเหงือกอักเสบได้ง่าย กระดูกทีอยู่ระหว่างฟันคุดและฟันกรามซี่ที่สอง จะมีละลายตัวเกิดเป็นโพรงขึ้น ทำให้เป็นโรคปริทันต์อักเสบได้ง่ายๆ

เมื่อตรวจวินิจฉัยพบว่ามีฟันคุด ควรรีบเอาออกทันที จริงๆแล้ว เวลาที่เหมาะในการเอาฟันคุดออกคือ เมื่อรากฟันคุดมีความยาวอยู่ระหว่าง 1 ใน3 ถึง 2 ใน 3 ของความยาวรากฟัน การผ่าตัดเอาฟันคุดออกตั้งแต่อายุน้อยๆ มีข้อดีคือ แผลหายเร็วกว่า กระดูกและเหงือกจะงอกเต็มรอยแผลได้ดีในปริมาณที่มากกว่า

Click on image to enlarge

ทันตกรรมสำหรับเด็ก

สุขภาพของฟันและเหงือกเป็นพื้นฐานของการมีสุขภาพกายที่แข็งแรง เริ่มตั้งแต่สารอาหารที่ต้องเข้าสู่ร่างกายทางปาก ฟัน แก้ม ริมฝีปาก ลิ้น ที่มีผลต่อความสวยงามของใบหน้าและการออกเสียงที่ชัดเจน มารดามีบทบาทสำคัญที่จะทำให้ลูกน้อยมีสุขภาพในช่องปากที่ดี โดยต้องเริ่มตั้งแต่ก่อนตั้งครรภ์ ควรรักษาฟันให้เสร็จเรียบร้อย ในระหว่างตั้งครรภ์ ควรทานอาหารที่มีประโยชน์ ไม่ดื่มแอลกอฮอล์ ไม่สูบบูหรี่ และดูแลฟันและเหงือกให้สะอาดอยู่เสมอ

ถ้าให้นมลูกโดยผ่านขวดนม ควรอุ้มลูกไว้ขณะที่ทารกดูดนม หลังดูดนม ควรใช้ผ้านิ่มสะอาดชุบน้ำหมาด ๆ เช็ดเหงือกและกระพุ้งแก้มให้ลูก ถ้าวางลูกลงบนที่นอนแล้ว ลูกอยากดูดนมต่อ ให้ใส่น้ำเปล่าในขวดนม

การดูแลให้ลูกมีสุขภาพที่ดี ไม่ผุ มีหลักการง่ายๆคือ ไม่ให้ดื่มนมหวาน รับฟลูออไรด์เสริมภายใต้การดูแลของแพทย์ และการกำจัดคราบพลาคออกจากฟันให้หมด มีงานวิจัยพบว่า แบคทีเรียที่เป็นสาเหตุของฟันผุปรากฎในช่องปากเมื่อฟันน้ำนมเริ่มขึ้น แหล่งของแบคทีเรียมาจากช่องปากของมารดา การติดเชื้อแบคทีเรียจากมารดาสู่ลูก เกิดในช่วงเด็กอายุ 19-28เดือน ซึ่งเป็นช่วงที่ฟันกรามน้ำนมกำลังงอก พ่อแม่ควรเริ่มพาลูกพบทันตแพทย์ หมอจะทำการขัดฟันเคลือบฟลูออไรด์ เคลือบหลุมร่องฟันการรักษาเหล่านี้มีขั้นตอนง่ายๆไม่ซับซ้อน ใช้เวลาไม่มาก แต่ให้ผลในการป้องกันฟันผุอย่างได้ผล

เมื่อฟันน้ำนมเริ่มงอก ควรใช้แปรงสีฟันนิ่มๆ ขนาดเหมาะสมแปรงฟันให้ลูก โดยเฉพาะตอนก่อนนอน ต้องดูแลให้สะอาด ไม่มีคราบพล้าคเกาะที่ผิวฟัน

Click on image to enlarge

ฟอกสีฟัน

การฟอกสีฟันมี 2 วิธี

วิธีแรก ทันตแพทย์ฟอกให้ เรียกว่า office bleaching ใช้น้ำยาความเข้มข้นสูง ร่วมกับเครื่องมือกระตุ้นให้น้ำยาทำงาน เช่น ใช้แสงเลเซอร์ ใช้หลอดไฟสำหรับฟอกฟัน หรือใช้เครื่องฉายแสง วิธีนี้ให้ผลเร็ว ประมาณครึ่งถึง หนึ่งชั่วโมงก็ขาวแล้ว เหมาะกับผู้ที่ต้องการฟันขาวอย่างรวดเร็ว เช่น ต้องไปถ่ายแบบ ถ่ายรูปแต่งงาน ข้อเสียของวิธีนี้คือ อาการเสียวมากหลังฟอก และสีฟันที่ขาว จะคล้ำลงภายใน1-2 อาทิตย์ และค่าใช้จ่ายสูง

วิธีที่สอง ทันตแพทย์ทำถาดฟอก และ ให้น้ำยาฟอกฟันแก่คนไข้ไปฟอกด้วยตนเองตอนนอน วิธีนี้ใช้เวลาประมาณ หนึ่งอาทิตย์ ไม่เหมาะกับผู้ที่ต้องการผลเร็ว ข้อดีของวิธีนี้คือ เสียวฟันน้อยกว่า ผลของฟันขาวอยู่นานเป็นปี คนไข้สามารถเก็บถาดฟอกไว้ใช้ ทำให้ประหยัดค่าใช้จ่ายในการฟอกฟันครั้งหลังๆ

การจัดฟัน

กฎ 3 ข้อที่หมอจัดฟันต้องทำให้สำเร็จ จึงจะนับได้ว่างานเสร็จสมบูรณ์ คือ

  1. จัดเสร็จแล้วต้องสวยขึ้น หล่อขึ้น
  2. จัดเสร็จแล้วต้องเคี้ยวถนัด ไม่มีอาการปวดเมื่อย หรือบาดเจ็บจากการเคี้ยวอาหาร
  3. เมื่อถอดเครื่องมือไปแล้ว ฟันควรอยู่ในตำแหน่งเดิมได้นานที่สุด
กฎข้อแรก เป็นเหตุผลหลักที่คนเรายอมลงทุนเสียเวลาและเสียเงิน ในตำราจัดฟัน มีการอ้างอิงถึงค่ามาตราฐานต่างๆ หลายค่าก็เป็นค่าอ้างอิงของชาติอื่น ซึ่งไม่เหมาะกับโครงสร้างของคนไทย จากประสบการณ์การทำงานมาหลายสิบปี หมอสรุปได้ว่า ค่าอ้างอิงความสวยงามต้องมาจากความต้องการของคนไข้เป็นหลัก ร่วมกับการวิเคราะห์ของหมอจัดฟันว่า จะสามารถนำคนไข้ไปถึงจุดนั้นโดย กฎที่เหลืออีก 2 ข้อก็ต้องสำเร็จด้วย

กฎข้อสอง การเคี้ยวได้ถนัดเป็นสิ่งสำคัญต่อคุณภาพชีวิต เมื่อจัดฟันเสร็จ คนไข้สามารเคี้ยวอาหารได้ละเอียดโดยไม่มีอาการปวดเมื่อยกล้ามเนื้อที่ใช้เคี้ยว ,ปวดศรีษะ หรือเจ็บข้อต่อขากรรไกร การที่กฎข้อนี้จะสำเร็จได้ หมอต้องจัดฟันให้ฟันสบกันในตำแหน่งเดียว และเป็นตำแหน่งที่สมดุลกับกล้ามเนื้อบดเคี้ยว และข้อต่อขากรรไกร

กฎข้อสุดท้าย เมื่อกฎข้อสอง สมบูรณ์ดีแล้ว ก่อนถอดเครื่องมือ หมอจัดฟันต้องปรับให้รากฟันขนานกันและสบฟันดีที่สุดเท่าที่เป็นไปได้ เมื่อทุกอย่างสมบูรณ์แล้ว จึงถอดเครื่องมือร่วมกับการใส่ retainer ฟันจะอยู่ในตำแหน่งเดิมจนกว่าจะมีการเปลี่ยนแปลงอื่นๆมารบกวน เช่น มีการสูญเสียฟัน หรือเป็นโรคปริทันต์อักเสบรุนแรงจนฟันโยก

Click on image to enlarge

รายละเอียดรากเทียม

ปัจจุบันการใส่ฟันปลอมทดแทนฟันที่ถอนไปด้วยรากเทียมเป็นที่นิยมมากขึ้น แต่ไม่ใช่ทุกคนสามารถฝังรากเทียมได้

ข้อพิจารณาสำคัญเช่น

  1. สุขภาพร่างกาย เช่น มีโรคเบาหวานที่ควบคุมไม่ได้หรือไม่ มีระบบภูมิคุ้มกันบกพร่องหรือไม่ ทานยา steroid เป็นประจำ หรือเคยได้รับการฉายรังสีบริเวณศรีษะและลำคอหรือไม่ มีโรคหัวใจหรือไม่
  2. ได้รับยารักษาโรคกระดูกพรุน Fosamax มาเป็นเวลานาน
  3. สูบบุหรี่มากกว่า 10 มวนต่อวัน และไม่สามารถหยุดบุหรี่ก่อนและหลังการรักษาได้
  4. และข้อปลีกย่อยอื่นๆอีก ดังนั้นการวางแผนทำรากเทียมจึงต้องผ่านการตรวจในช่องปาก และซักประวัติเกี่ยวกับสุขภาพอย่างละเอียด

การรื้อวัสดุอุดอมัลกัม

กรณีที่ทางคลินิคทันตแพทย์สมเกียรติ ได้รับการส่งต่อคนไข้ให้มารื้อวัสดุอุดอมัลกัม คนไข้กลุ่มนี้มักได้รับการวินิจฉัยมาจากแพทย์ว่า มีปรอทในร่างกายในปริมาณสูง การรื้ออมัลกัมคนไข้กลุ่มนี้ จึงต้องทำอย่างระมัดระวัง ให้ไอปรอทและเศษอมัลกัมระหว่างรื้อสัมผัสคนไข้น้อยที่สุด ดังนี้

ขั้นการเตรียมคนไข้ก่อนการรื้อ

  1. คนไข้ได้รับการใส่แผ่นยางกันน้ำลาย ตรงฟันซี่ที่จะรื้ออมัลกัม เพื่อไม่ให้เศษอมัลกัมสัมผัสอวัยวะในช่องปาก ปกติจะใส่แผ่นยางกันน้ำลาย ทุกเคส ยกเว้นตำแหน่งที่ฟันเตี้ยหรือเกมากเช่นฟันซี่สุดท้าย
  2. บริเวณฟันที่ได้รับการรื้ออมัลกัม มี activated charcoal วางซับอยู่ใกล้ๆ ช่วยจับกับชิ้นส่วนอมัลกัมที่อาจเล็ดรอดแผ่นยางกันน้ำลาย
  3. มีการใช้ ออกซิเจนตลอดเวลาที่รื้ออมัลกัม
ระหว่างการรื้ออมัลกัม
  1. ใช้หัวกรอฟันตัวใหม่เพื่อให้การรื้อเป็นไปอย่างสะดวกที่สุด
  2. ใช้เครื่องดูดความแรงสูง เพื่อดูดไอปรอทระหว่างการรื้อ หัวดูดถูกวางไว้ใกล้ฟันซี่ที่รื้อตลอดเวลา
  3. ทันตแพทย์กรอตัดวัสดุเป็นชิ้นๆ แล้วใช้เครื่องมือหยิบออก ทำให้ลดการเกิดไอปรอทจากการรื้ออมัลกัม
หลังรื้ออมัลกัม
  1. ออกซิเจน และแผ่นยางกันน้ำลายถูกถอดออก
  2. มีการตรวจในช่องปากอย่างละเอียด ว่าไม่มีเศษอมัลกัมตกค้าง ทันตแพทย์ฉีดน้ำล้างในช่องปาก นานอย่างน้อย 60  วินาที
  3. ทันตแพทย์และผู้ช่วยเปลี่ยนถุงมือคู่ใหม่ก่อนเริ่มอุดฟันด้วยวัสดุคอมโพสิทเรซิน

Click on image to enlarge

ปิดช่องฟันห่าง

วัสดุคอมโพสิท และระบบกาวในปัจจุบันตอบสนองความต้องการในเรื่องความสวยงามได้เป็นอย่างดี คอมโพสิทเรซิน มาในรูปของเนื้อวัสดุนิ่มๆ ทันตแพทย์สามารถแต่งจนได้รูปร่างที่ต้องการจึงฉายแสงให้วัสดุแข็ง ด้วยคุณสมบัติพิเศษนี้ จึงนำมาใช้ในงานปิดช่องฟันห่างได้เป็นอย่างสวยงาม ไม่ต้องกรอเนื้อฟัน และใช้เวลาทำไม่นาน

Click on image to enlarge